Оберіть ваше місто:

Відбілювання зубів у Запоріжжі

Відбілювання зубів у Запоріжжі

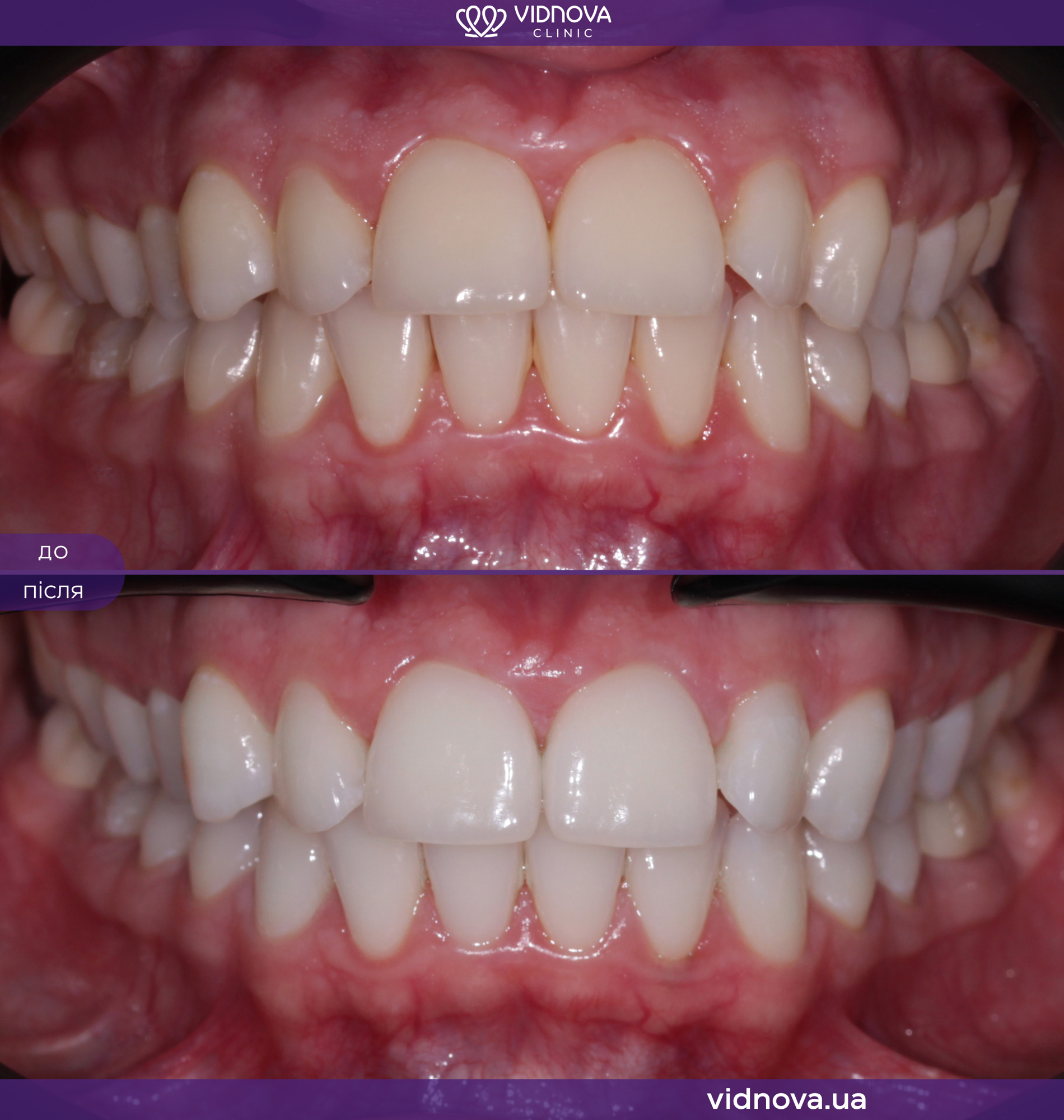
Білосніжна усмішка – не просто естетична потреба або забаганка. Це важлива процедура, яка допоможе вам відчути впевненість у собі, позбутися комплексів та небажання посміхатися на людях, подарує безліч незабутніх моментів із компанії з улюбленими друзями. Якщо ви хочете усунути жовтизну після вживання кави або сигарет, поліпшити природний колір зубів – спробуйте відбілювання Zoom 4 або Beyond в клініці Vidnova.

Сучасна система відбілювання: Zoom 4 або Beyond?

Наша клініка представляє два варіанти відбілювання вашої посмішки:

Система відбілювання Zoom 4 від виробника Philips. Ця система отримує заслужене золото у світі відбілюючих систем, тому що є щадною для посмішки і відбілює зуби без наслідків для емалі. Цей ефект досягається завдяки аморфному фосфату кальцію, одному з інгредієнтів гелю, що відбілює.

Друга з безпеки та якості – Beyond, система, яка також дбайливо освітлює емаль, не викликаючи при цьому дискомфорту, больових відчуттів та підвищення чутливості. Це можливо завдяки складу гелю на основі 35% перекису водню. При взаємодії перекис розпадається на воду та кисень, що не завдає шкоди слизовій оболонці та емалі.

Ціни

Домашнє відбілювання APT 10
6700 грн.
Запишіться на прийом!

Ми вам перетелефонуємо в найближчий час для уточнення деталей прийома. У разі виникнення питань наш менеджер відповість на них.

    Переваги інноваційного відбілювання у Vidnova

    Без болю та дискомфорту.

    Звичайне відбілювання часто приносить неприємні відчуття. Справа в тому, що під час процедури лікар використовує спеціальну пасту із вмістом кислоти. Вона хімічно впливає на поверхню емалі та освітлює усмішку. Система для відбілювання Zoom4 містить у кілька разів менше кислоти, але також активно впливають на зуби. Відбілюючий ефект Beyond досягається завдяки 35% розчину перекису водню.

    Емаль під захистом.

    Ви могли чути, що після відбілювання чутливість зубів збільшується у кілька разів, а емаль послаблюється. Відбілювання системою Beyond та Zoom 4 запобігає появі цих неприємних симптомів, так як у роботі використовується лампа з ультрафіолетовим випромінюванням, яка не впливає на чутливість емалі.

    Довгий ефект

    Тривалість відбілювання зубів у нашій клініці – від 2 до 5 років. Також ви можете придбати набір для домашнього вибілювання від Zoom 4, щоб продовжити ефект від процедури.

    Корисність для здоров’я

    Під час відбілювання ви також зміцните свою емаль, тому що на завершальному етапі відбувається фторування зубів та насичення їх корисними елементами. Ті, хто відвідав відбілювання, на 30% рідше потребують послуг по стоматологу.

    Економія

    Відбілювання Zoom4 та Beyond дозволить вам заощадити гроші, не купуючи дорогі професійні відбілюючі пасти, які дають лише недовгий візуальний ефект, або він взагалі відсутній.

    У яких випадках варто зробити відбілювання зубів?

    • Якщо ви незадоволені природним кольором своєї емалі та хочете відбілити посмішку на кілька тонів. Не соромтеся кольорів своїх зубів. Виправте це лише за 1 годину під час інноваційного відбілювання за американською технологією Zoom 4 або Beyond.
    • Процедура допоможе вам позбутися наслідків куріння та вживання кави, фарбуючих продуктів та напоїв. Особливо це актуально, якщо ви тривалий час вживали згадані вище продукти і ефект встиг міцно закріпитися на емалі.
    • Вибілювання може бути іміджевою послугою. Якщо ви завжди маєте бути на висоті і мати чудовий зовнішній вигляд, виступаєте на публіці або знімаєте свій блог, необхідно дбати про красу своєї усмішки.

    Якщо відбілювання зубів у Запоріжжі – то у Vidnova.

    Докладніше з цінами ви можете ознайомитись у розділі «Ціни» або у адміністраторів клініки за тел:+ 38 (096) 214-03-33.

    Наше обладнання

    Мікроскоп Carl Zeiss Extaro 300

    Мікроскоп Carl Zeiss Extaro 300 – це високотехнологічне обладнання преміум-класу для стоматології. З ним успішно працюють стоматологи Vidnova Clinic.  Тому при виборі клініки особливу увагу треба звернути на те, чи

    Лікарі Vidnova Clinic

    Степанян Світлана Олексіївна

    стоматолог-гігієніст

    Степанян Світлана Олексіївна – стоматолог-гігієніст Vidnova Clinic у Запоріжжі. Проводить професійну гігієну, відбілювання зубів. Досвід роботи: 13 років

    Автор:

    Степанян Світлана Олексіївна

    стоматолог-гігієніст

    Оцінка:

    1 Зірка2 Зірки3 Зірки4 Зірки5 Зірок
    166 голоси
    5.00
    Loading...
    Запишіться на прийом!

    Ми вам перетелефонуємо в найближчий час для уточнення деталей прийома. У разі виникнення питань наш менеджер відповість на них.